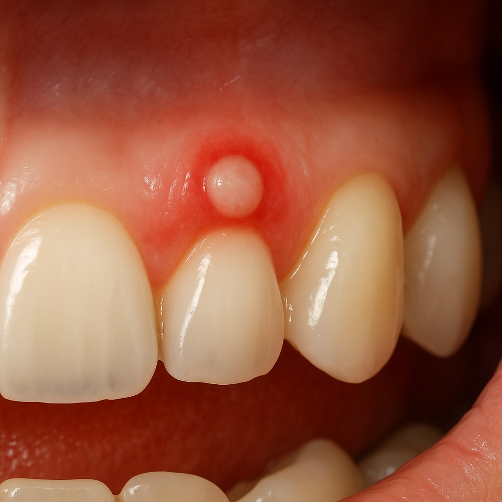
Гнойник на десне, иногда называемый «гнойным прыщиком» или «волдырем», выглядит как небольшой прыщик на десне, заполненный гноем. Обычно он развивается в результате бактериальной инфекции под поверхностью десны. Это серьезная проблема для здоровья полости рта, потому что она сигнализирует об инфекционном процессе. Без лечения такое воспаление может привести к тяжелым осложнениям. Гнойники на деснах особенно часто возникают у людей с запущенным заболеванием десен (пародонтитом) или инфекцией в корне зуба.

Причины появления гнойников на десне
Гнойники на деснах обычно возникают из-за бактериальной инфекции, и ряд факторов повышает риск их появления:
Инфекция:
Когда бактерии поражают пульпу зуба или десневые карманы (часто вследствие глубокого кариеса или тяжелого заболевания десен), на десне может образоваться гнойник. Нелеченый кариес способен привести к гнойному очагу у корня зуба. Точно так же запущенный пародонтит (воспаление десен) может вызвать гнойник в десневом кармане.
Травмы и внешние факторы:
Сильный удар по зубу или некачественно выполненное стоматологическое лечение тоже могут стать причиной гнойника. Плохо установленные или негерметичные пломбы, а также плохо подогнанные коронки позволяют бактериям проникать во внутренние ткани зуба.
Общее состояние здоровья:
Ослабленная иммунная система облегчает образование гнойничков на деснах. При слабом иммунитете организму труднее бороться с бактериями во рту, что увеличивает риск инфекции. Кроме того, плохая гигиена полости рта и обильный зубной налет (из-за редкого чистки зубов и отсутствия регулярного использования нити) значительно повышают вероятность кариеса и заболеваний десен, а следовательно, и появления гнойников.
Симптомы гнойника на десне

Симптомы, возникающие при гнойниках на десне, обычно указывают на наличие инфекции. Основные проявления могут быть следующими:
Отек и воспаленный пузырек:
На десне появляется небольшая бело-желтая припухлость, заполненная гноем, — по сути, «прыщик» на десне. Этот пузырек часто указывает на точное местоположение инфекции. При нажатии на него может выделяться гной, и на ощупь он кажется мягким.
Покраснение и боль:
Десна и ткани вокруг пораженного зуба опухают и становятся болезненными. Часто ощущается постоянная ноющая, иногда пульсирующая боль. Неприятные ощущения могут усиливаться при жевании или прикасании к больному зубу. Боль зачастую является первым признаком образующегося гнойника на десне.
Неприятный привкус или запах изо рта:
В некоторых случаях гной из воспаленной области может подтекать в полость рта, вызывая неприятный привкус и плохой запах. Выделения из гнойника часто придают во рту металлический или солоноватый привкус. Кроме того, вокруг пораженного зуба может наблюдаться кровоточивость десны, что тоже приводит к необычному вкусу и запаху во рту.
Повышенная температура и усталость:
В зависимости от тяжести инфекции организм может реагировать общими симптомами. Возможны высокая температура, озноб, увеличение лимфатических узлов и общая слабость — эти признаки свидетельствуют о том, что инфекция распространяется. При серьезном гнойном воспалении иммунная система нередко реагирует повышением температуры тела. Если вы ощущаете недомогание, быструю утомляемость или замечаете опухшие лимфоузлы на фоне проблем с десной, это указывает на то, что гнойник перестал быть локальной проблемой и начинает влиять на весь организм.
Безболезненные гнойники:
Не все гнойники вызывают боль — некоторые могут протекать почти без симптомов. Если гною есть выход, давление внутри тканей десны снижается и гнойник может сформироваться безболезненно. Однако отсутствие боли не означает отсутствие проблемы: инфекция в таком случае может распространяться глубже. Не откладывайте визит к врачу только потому, что нет боли. Даже небольшую припухлость на десне должен осмотреть специалист, иначе инфекция может незаметно усилиться и привести к серьезным осложнениям.
Диагностика гнойника на десне
Стоматолог обычно диагностирует гнойник на десне при клиническом осмотре. Чтобы определить источник инфекции, чаще всего делается рентгеновский снимок. На рентгене видно расположение и степень поражения у корня зуба, а также возможные повреждения кости из-за воспаления. В некоторых случаях назначают 3D-исследование (КТ), которое дает более полную информацию о размере гнойника и том, не распространился ли он, например, на область шеи. Дополнительно врач может проверить жизнеспособность нерва зуба рядом с гнойником, так как отмирание нерва часто сопровождает образование гнойного очага у корня.
Методы лечения гнойника на десне
Гнойник на десне может выглядеть небольшим прыщиком, но он является серьезным сигналом о непорядке в организме. Главная цель лечения — очистить инфекцию и не допустить ее возвращения, поэтому обращение к профессиональному стоматологу обязательно. В зависимости от причины и тяжести проблемы врач может вскрыть гнойник и дренировать его, провести лечение корневых каналов или глубокую чистку десневых карманов. В самых тяжелых случаях, когда зуб уже не спасти, может потребоваться удаление пораженного зуба.
Антибиотики нередко назначаются, чтобы предотвратить дальнейшее распространение инфекции, но сами по себе они не устранют очаг полностью. Обезболивающие препараты или антисептические полоскания могут временно облегчить боль и дискомфорт, однако полностью решить проблему может только полноценное стоматологическое лечение. При правильно проведенной терапии улучшение наступает довольно быстро: уже через несколько дней опухоль уменьшается, и боль утихает. Но для длительного результата и полного выздоровления крайне важно строго соблюдать гигиену полости рта и следовать всем рекомендациям врача, чтобы инфекция не вернулась.
Временные меры, которые можно принять дома
Помните, что окончательно избавиться от гнойника можно только у стоматолога. Однако есть несколько домашних средств, которые помогут временно облегчить боль и сдержать распространение инфекции в ожидании врачебной помощи:
Полоскание теплой соленой водой:
Смешайте половину чайной ложки соли с стаканом теплой воды и прополаскивайте рот этим раствором несколько раз в день. Соленая вода уменьшает отек и боль, а также помогает очистить область воспаления.
Гигиена полости рта:
Старайтесь поддерживать хорошую гигиену даже при наличии гнойника. Аккуратно чистите зубы мягкой щеткой, уделяя особое внимание области вокруг воспаления. По возможности продолжайте пользоваться зубной нитью, но будьте осторожны возле больного места. Важно не травмировать сам гнойник.
Холодный компресс:
Никогда не прикладывайте тепло к опухшей десне — это может усилить воспаление. Вместо этого заверните кубик льда в ткань и ненадолго приложите к щеке с внешней стороны в области гнойника. Холодный компресс может временно уменьшить боль и отек.
Обезболивающие:
Препараты от боли, продающиеся без рецепта (такие как ибупрофен или парацетамол), помогут на время облегчить неприятные ощущения. Принимайте их согласно инструкции, чтобы снять боль и снизить воспаление.
Важно:
Ни в коем случае не пытайтесь самостоятельно прокалывать или выдавливать гнойник на десне. Это может загнать инфекцию глубже в ткани и привести к серьезным осложнениям.
Частые вопросы
Как избавиться от гнойника на десне?
Полностью устранить гнойник в домашних условиях, к сожалению, практически невозможно. Полоскания соленой водой и другие народные методы дают лишь временное облегчение. Чтобы гнойник зажил окончательно, стоматолог должен дренировать его (удалить гной) и устранить первопричину инфекции профессиональными методами.
Что вызывает появление гнойника?
Основная причина — бактериальная инфекция. Глубокий кариес, инфекция в корневом канале зуба или запущенное воспаление десен (пародонтит) могут привести к образованию гнойника. Кроме того, травма зуба, некачественное стоматологическое вмешательство или ослабленный иммунитет тоже способны поспособствовать развитию этой проблемы.
Как долго может держаться гнойник?
Без лечения гнойник на десне сам по себе не пройдет и может сохраняться неделями и даже месяцами. После начала лечения улучшение обычно наступает через несколько дней: гнойник уменьшается, и боль проходит. Однако при тяжелом случае полное заживление тканей может занять несколько недель.
Можно ли проколоть или выдавить гнойник на десне?
Абсолютно нет. Ни в коем случае не пытайтесь это сделать самостоятельно. Прокалывая или выдавливая гнойник, вы рискуете загнать инфекцию глубже в ткани. Самый безопасный способ избавиться от гнойника — это доверить его стерильное вскрытие и обработку стоматологу.
Опасны ли гнойники на деснах?
Да, и довольно серьезно. Если не лечить, гнойный очаг может разрастаться, разрушить окружающие ткани зуба и кости и даже привести к потере зуба. В худшем случае инфекция из десны способна попасть в кровоток и повредить жизненно важные органы, такие как мозг, сердце или легкие.
Гнойник на десне — это срочно?
В большинстве случаев да. Появление гнойника требует как можно более быстрого обращения к врачу, особенно если вы заметили симптомы вроде высокой температуры, сильной боли или быстро нарастающей отечности лица. Даже если боль минимальна, относиться к гнойнику нужно серьезно и посетить стоматолога в кратчайшие сроки.
Может ли гнойник пройти сам по себе?
Нет. Иногда гнойник может прорваться, и вы заметите, что опухоль слегка спала. Но без устранения источника инфекции он, скорее всего, появится снова. Для полного излечения врач должен очистить гнойный очаг и устранить первопричину, иначе проблема будет возвращаться.
Часто ли бывают гнойники на деснах?
Достаточно часто. Такие проблемы нередко возникают у людей с большими кариозными полостями или заболеваниями десен. Те, кто не уделяет должного внимания гигиене полости рта, находятся в группе повышенного риска и сталкиваются с гнойными воспалениями на деснах гораздо чаще.
Опасен ли безболезненный гнойник на десне?
Даже если гнойник не болит, это не делает его безопасным. Иногда отсутствие боли объясняется тем, что гной выходит наружу и не создает давления внутри тканей. Однако инфекция при этом все равно присутствует и может распространяться. Поэтому при любом подозрительном бугорке или припухлости на десне необходимо показаться стоматологу, даже если боли нет совсем.
Заключение
Гнойник на десне — это инфекция, которая требует неотложного внимания. Чем раньше вы обратитесь к стоматологу, тем быстрее уйдет боль и тем меньше шанс распространения инфекции. Помните, что регулярный уход за полостью рта и профилактические осмотры у зубного врача значительно снижают риск появления гнойников и других подобных проблем.